
Mau Hálito – Halitose
O mau hálito, ou halitose, é mais do que um incômodo social; é um sinal de
Método para o controle do Mau Hálito, Boca Seca e Cáseos Amigdalianos.
Nosso Método atua nas principais causas desses problemas, oferecendo um caminho claro para você recuperar a segurança e a confiança para sorrir e conversar sem medo.

O mau hálito, ou halitose, é mais do que um incômodo social; é um sinal de

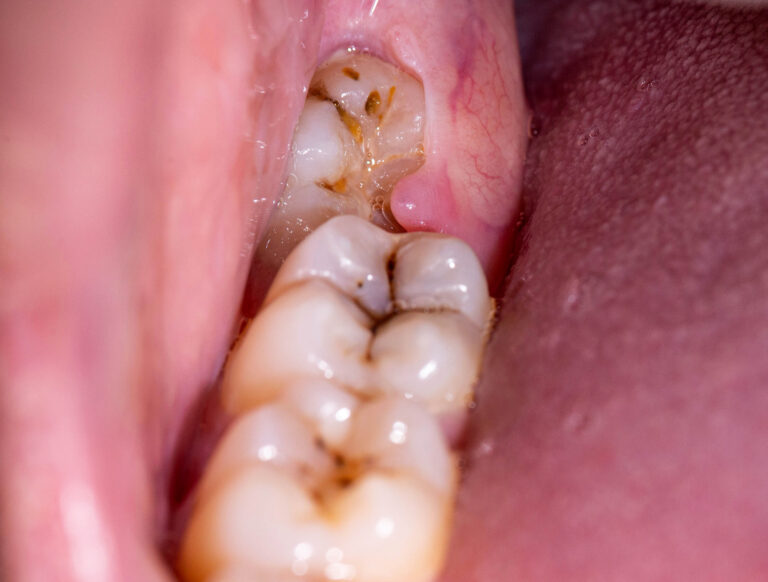
Os cáseos amigdalianos, também conhecidos como tonsilólitos ou tonsil stones, são pequenas massas esbranquiçadas ou amareladas

A boca seca, ou xerostomia, é a sensação de secura causada pela redução do fluxo salivar.

O gosto amargo persistente na boca, conhecido como disgeusia, é uma alteração ou distorção do paladar

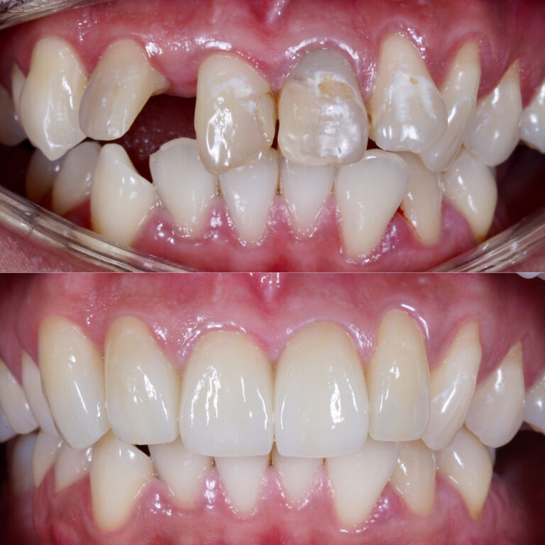
COROAS DE PORCELANASUma coroa de porcelana é uma restauração dentária que cobre completamente o dente original,

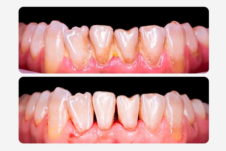
Limpeza dental (profilaxia) é a prevenção de doenças bucais e periodontais, removendo placas bacterianas e tártaro

A odontologia preventiva é uma disciplina essencial dentro da área odontológica, focalizada na prevenção de problemas

A odontologia digital representa uma evolução na prática odontológica, integrando tecnologias digitais avançadas para aprimorar a

O procedimento de extração dos dentes do siso, também conhecidos como terceiros molares, é uma intervenção

A reabilitação oral é uma disciplina odontológica dedicada à restauração funcional e estética da boca, abrangendo

Protetores esportivos bucais são dispositivos desenvolvidos para proteger os dentes, gengivas, lábios e mandíbula durante atividades

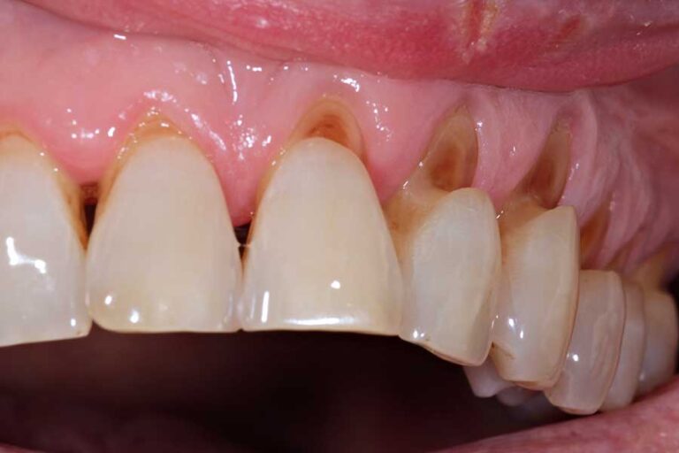
A sensibilidade dental é uma sensação incômoda que ocorre quando os dentes reagem a estímulos externos,

O sorriso é frequentemente considerado o cartão de visitas de uma pessoa, refletindo não apenas sua

As facetas de porcelana são uma opção popular para quem busca um sorriso mais branco e

As Lentes de Contato Dental são uma excelente opção para quem busca um sorriso mais harmônico,

A ausência de dentes pode afetar negativamente a saúde bucal e a qualidade de vida de